要約
12歳齢、去勢雄の雑種犬が慢性嘔吐と黒色便を主訴に来院した。成熟型リンパ球の増加を伴う総白血球数の増加と血小板数の減少および低アルブミン血症が認められた。内視鏡検査、骨髄生検および試験開腹を行った結果、消化管を中心とした腹腔内臓器に病変を伴う慢性リンパ球性白血病(CLL)と診断した。プレドニソロンとメルファランあるいはクロラムブシルの併用療法を行ったが、末梢血腫瘍細胞の芽球化が認められ、第146病日に死亡した。
はじめに
CLLは骨髄において小型の成熟リンパ球様細胞が腫瘍性に増殖する疾患である。大部分の症例では末梢血中のリンパ球の増加以外に明らかな異常を認めず、特異的な症状を欠くことから健康診断の血液検査などで偶発的に見つけられることが多い。身体検査で脾臓、肝臓およびリンパ節の腫大が観察される例もあるが1)、それ以外の臓器に病変を形成することは稀である。犬のCLLで消化管に病変が形成された症例はこれまでに報告されていない。今回、我々は消化管を中心とした腹腔内臓器に腫瘤病変を認め、消化器症状を主徴とした犬のCLLを経験した。その診断、治療経過および予後について報告する。
症例
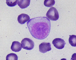
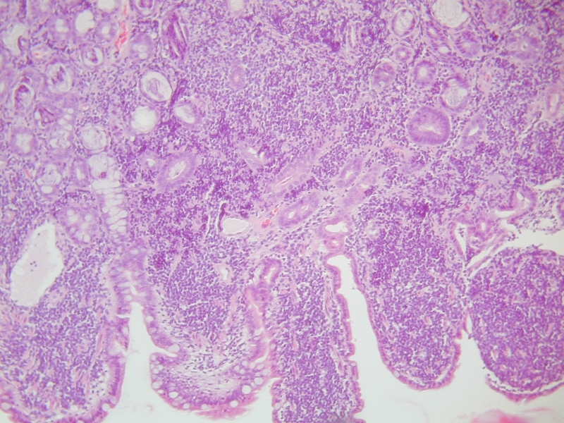
症例は雑種犬、12歳齢の去勢オス、体重15.6kgで、約2ヶ月間にわたる慢性的な嘔吐と黒色便を主訴に来院した。他院にて総白血球数の増加を指摘され、抗生剤と制吐剤の投薬を受けていたが、改善が認められなかったため本院に来院した。初診時の身体検査では全身の体表リンパ節が中程度に腫大していた。血液検査では成熟型のリンパ球様細胞の増加(35,784/μL)を伴う著しい総白血球数の増多(42,600/μL)と血小板数の減少(1.31×105 /μL)ならびに低アルブミン血症(2.2 g/dL)が認められた。末梢血の成熟型リンパ球様細胞は、明瞭なクロマチン凝集が認められる円形または切れ込みをもつ類円形の小型の核を持ち、狭い細胞質を有していた。また、膝窩リンパ節の針吸引生検でも同様の細胞が認められた。腹部X線検査では脾臓の腫大が見られた。腹部超音波検査では、脾臓の頭部に直径約2.3cm大の混合エコー性の腫瘤が観察され、さらに直径約1.3cm大の2つの腸間膜リンパ節の腫大および、腸管付近に直径約1.3cm大の低エコー性の腫瘤が確認された。低アルブミン血症の原因を調べるために内視鏡検査を実施したところ、胃粘膜は全体に赤色を呈し、粘膜肥厚が認められた。胃の噴門部には糜爛があり、大弯から幽門部粘膜はざらざら観(Mucosal Granularity)を呈し、平滑なドーム状の隆起が密集しているいわゆる敷石病変が認められた。十二指腸粘膜も全体に赤色を呈し、粘膜肥厚、粘液過多、ざらざら観および敷石病変が観察された(図1)。内視鏡生検組織の病理組織検査では胃および十二指腸の粘膜固有層に小型のリンパ系細胞が腫瘍性に増殖しており、粘膜筋板の破壊も認められた(図2)。これらリンパ系細胞のクローナリティを調べるために、PCRによりT細胞レセプターγ鎖(TCRγ)および免疫グロブリンH鎖(IgH)遺伝子再構成を検索したところ、IgHにバンドが認められたことから、B細胞のモノクローナルな増殖が示された(図3)。CLLと低悪性度リンパ腫の鑑別診断のために骨髄生検を実施したところ、成熟リンパ球様細胞が著しく増加しており、骨髄全有核細胞に占める割合が両者の鑑別の基準となる30%を越えていた(図4)。巨核球系細胞は少数しか認められなかった。骨髄球系および赤芽球系細胞は相対的に減少していたが、分化の異常を示唆するような形態学的な異常は認められなかった。以上の結果から、B細胞型慢性リンパ球性白血病と診断した。
超音波検査で観察された腫瘤は、その形成された部位から、経皮的な生検は困難と判断し、試験開腹を実施した。超音波検査で観察された脾頭部腫瘤、腸間膜リンパ節の腫大の他、脾臓の臓側面、脾門部被膜上に白色蝋様の粟粒結節が瀰漫性に集簇して観察された(図5-a)。さらに空腸の漿膜面に直径約2cm大の腫瘤が5個、数珠状に連なって約5cm間隔で認められた(図5-b)。脾臓被膜面の結節病変および空腸漿膜面の腫瘤の生検を行い、病理組織検査を実施したところ、リンパ節の固有構造は認められず、小型のリンパ系細胞が瀰漫性に増殖しており、これら細胞の核は、円形から類円形で赤血球2個分よりも小さく、クロマチン凝集を有しており、細胞質は狭く淡明であった(図6)。以上の検査結果から本症例は、消化管粘膜および空腸漿膜、脾臓被膜に病変を形成したB細胞型慢性リンパ球性白血病であることが示された。
慢性リンパ球性白血病の治療指針は何らかの臨床症状が認められる場合、あるいは進行性の経過を示す場合に治療を開始するとされるが1)、本症例では消化器症状が認められたため、第31病日よりメルファラン(5mg/m2,SID)の経口投与とプレドニソロン(40mg/m2,SID)の経口投与の併用療法を開始した。第38病日に臨床症状は改善し、体表リンパ節の縮小および末梢血中腫瘍細胞数の減少(10,290/μL)が認められたため投与量を漸減した。血中アルブミン濃度は増加傾向を示し、第46病日に2.6g/dLまで改善した。血小板数は第38病日に一旦増加した(1.87×105/μL)が、第46病日には減少した(0.75×105/μL)。第46病日には臨床症状も認められなくなっていたため、メルファランを休止したところ、血小板数は増加した(1.06×105/μL)。第54病日には臨床症状も完全に消退し、末梢血腫瘍細胞数も低値(6,400/μL)を維持していたため、治療を一旦休止した。しかし、第65病日に嘔吐、黒色便といった臨床症状の再燃および末梢血腫瘍細胞数の増加(14,820/μL)、全身の体表リンパ節腫大が認められ、腫瘍の再発が疑われたためクロラムブシル(6mg/m2,SID)の経口投与を用いた治療を再開した。その後、臨床症状の改善と末梢血腫瘍細胞数の減少は観察されたが、体表リンパ節の腫大は進行した。第87病日の腹部超音波検査では脾臓内の腫瘤は直径約2.6cm大に、腸間膜リンパ節も直径約1.7cm大に腫大していた。また脾臓被膜面に、広範囲に腫瘤が付着した像が認められた。その後、末梢血腫瘍細胞数および血小板数の減少と体表リンパ節の腫大傾向は認められるものの、一般状態は良好に維持し、小康状態が続いていた。しかし、第123病日に呼吸促迫が認められたため胸部X線検査を実施したところ、胸骨下リンパ節と肺門リンパ節の腫大が認められ、腫瘍の浸潤と考えられる肺野全体の泡沫状肺胞パターンが観察された。第123病日よりメルファラン(5mg/m2,SID)の経口投与を再開したが、第146病日に重度の血小板数の減少(0.26×105/μL)と呼吸困難を呈して死亡した。初診時と第146病日の末梢血中腫瘍細胞を比較したところ、治療前はほとんどが小型の成熟型リンパ球様細胞であったが、第146病日には腫瘍細胞数は減少し(1224/μL)成熟型細胞はほとんど認められず、大型のリンパ芽球が大半を占めていた(図8)。
考察
ヒトのCLLで消化管に病変を形成することは稀であり2)、犬のCLLにおいて消化管に病変を形成した症例はこれまでに報告されていない。本症例では胃および十二指腸粘膜、空腸漿膜面腫瘤、脾臓被膜面結節の病理組織検査からいずれも同様の小型のリンパ系細胞が観察され、生検材料の一部を用いたクローナリティ検索からこれらのリンパ系細胞の腫瘍性増殖が確認された。さらに骨髄検査にて同様の細胞が骨髄全有核細胞中に30% 以上認められたことから、消化管に病変を形成したCLLと診断した。
イヌのCLLはメルファランを用いた治療法で良好な成績が報告されていることから3)、本症例でもメルファランを用いた治療を実施した。一旦は改善が認められたため、治療指針に従い治療を中止したところ、短期間(約10日)で再発が認められた。メルファランの骨髄抑制によると思われる血小板減少が観察されたことから、イヌのCLLで一般的に用いられているクロラムブシルを用いて再導入を行った。クロラムブシル導入後、血小板数は一旦増加したものの、徐々に低下し、減量しても血小板数の回復が認められなかったことから血小板減少はクロラムブシルの骨髄抑制によるものではなく、CLLによる骨髄労と考え治療を続けた。しかし、全身リンパ節の腫大が徐々に進行し、肺野への腫瘍の浸潤が明らかとなったため、クロラムブシルでの改善は不可能と判断し、再度メルファランを用いた治療を行ったものの、改善はなく死亡した。
一般に犬のCLLの予後は良好であり、無治療でも3年以上生存する例が多いこと4)、また治療が必要な場合でも良好な生活の質を維持しながら多くが1年から3年間生存すること1)が報告されている。本症例では全身のリンパ節の腫大や血小板数の減少が顕著となり、初診時から146日目とイヌのCLLの中では比較的短期間で死亡した。現在犬のCLLでは明確な病期分類は確立されていないが、ヒトのCLLではLow risk、Intermediate risk、High riskの3つのステージに分類され、ステージが上がるにしたがい生存期間は短くなる5)。本症例は、ヒトの分類を外挿すれば治療前に血小板数の減少が認められたことからHigh riskに相当するものと考えられ、比較的短期間で死亡したことから、ヒトの分類と一致する予後を示した。
本症例では死亡直前の末梢血にリンパ芽球の出現が観察された。CLLの経過中に腫瘍細胞の芽球化を認める病態として、慢性白血病の経過中に末梢血や骨髄中に未熟な芽球が現れる急性転化、およびリヒター症候群が挙げられる。リヒター症候群はCLLの経過中に瀰慢性大細胞型リンパ腫を合併する病態で、末梢血や骨髄にリンパ芽球が出現し、全身性リンパ節、脾臓や肝臓にリンパ芽球が浸潤して腫大することが特徴である4)。いずれも予後は悪く、急性リンパ球性白血病や高分化型リンパ腫の化学療法を行っても短期間で死亡する。リヒター症候群の確定診断のためには、芽球出現後にリンパ節の採材を行い、リンパ球の形態の変化を確認する必要がある。本症例では実施できなかったものの、全身性のリンパ節の腫大が徐々に進行し、死の転帰をとったことから、2つの病態のうち、リヒター症候群が疑われた。
上述の通り、一般的にイヌのCLLの予後は良好であることが多いとされている。しかし、非常にまれではあるが、イヌのCLLにおいて末梢血中腫瘍細胞が芽球化した例6)、リンパ腫の併発を認めリヒター症候群を疑う例はこれまでにも報告されている7)。したがって、CLLの病状が安定していても、病状の急速な悪化を早期に発見するために、末梢血塗抹標本の詳細な観察や全身性リンパ節の触診、細胞診などによる評価は重要であると思われた。
また、イヌのCLLでは様々な経過が報告されているにもかかわらず、明確な病期分類が確立されていない。有効な治療法の選択と予後判定を可能にするために、今後も詳細な臨床像の集積を行い、病期分類の早期確立が必要であると考えられた。
![]() 図4 骨髄所見 |
![]() 図5 試験開腹時の肉眼所見 |
![]() (b)空腸漿膜面には直径約2cm大の腫瘤が5個、数珠状に連なって約5cm間隔で認められた。 | ||||||||








戻る